MRI of the brain



Magnetic resonance imaging of the brain without contrast enhancement
Rating:
Reviews 2GIS Yandex Google
What you will receive
Medical report with recommendations
We will record the MRI data on DVD-disk. On the disk envelope, we will indicate QR-CODE, from which you can download the study description 24 hours after the examination.
For an additional fee, we can print the research results on film.
Who needs this service?
Indications to MRI of the brain:
- frequent headaches
- diagnosis of brain neoplasms (tumors – benign and malignant)
- identification of the causes of inflammation of the paranasal sinuses (sinusitis, ethmoiditis, frontal sinusitis)
- epilepsy (acute and chronic);
- stroke and assessment of post-stroke condition
- periodic fainting
- meningitis
- Parkinson’s disease, Alzheimer’s
- multiple sclerosis
- vascular disorders
- preoperative and postoperative assessment
- cyst formation
- aneurysms, thrombosis, and other vascular pathologies;
- hematomas and their consequences
- ischemic zones
- increased intracranial pressure
Most often, brain pathology is accompanied by noticeable deviations in a person’s condition, behavior, and reactions. These may include confusion, facial tingling, sensory disturbances, hearing or vision loss, and speech problems.
Who cannot receive such a service? Contraindications for MRI:
- Presence of electronic medical devices in the body (pacemaker, etc.)
- Presence of metal elements in the area of study (prostheses, clips, fragments)
- Inadequate patient behavior (panic attack, psychomotor agitation)
- State of drug or alcohol intoxication
- Inability to remain still during the examination (due to severe pain or other reasons)
- The necessity of continuous resuscitation measures (artificial respiration, etc.)
How do we do it?
MRI of the brain does not require anesthesia or special preparation.
Before the procedure, the MRI-technician will check you with a special device to ensure there are no metals in your body or clothing that react to the magnetic field. Then, you will be placed on the MRI table and given instructions. You will be given a button in your hand, which can instantly stop the examination if pressed. Next, the brain examination protocol, consisting of several programs, will be initiated.
If necessary to clarify the obtained data, additional research programs may be involved after agreement with you.
What is included in the service?
The research protocol in different clinics can vary significantly. MRI is always a compromise between the time spent on the examination and its quality.
We use all recommended programs, ensuring the highest quality of research, allowing for a detailed examination of the brain without missing pathological changes.
An important aspect is the research step – thickness “sections “, which we will obtain as a result of the research. The smaller the step and the more slices, the more detailed we can assess the condition of the tissues.
Our brain MRI protocol includes the following programs:
Program / slice thickness
3D T1 sagittal / 1 мм
T2 axial / 4 мм
T2 FLAIR axial / 4 мм
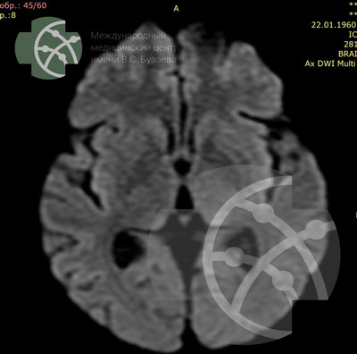
DWI* axial / 4 мм
SWAN** axial / 3 мм
*MRI sequence — DWI и ADC
Clinical Application:
- Early Detection of Ischemic Stroke
- Differentiation Between Early and Late Stroke
- Differentiation between Epidermoid and Arachnoid Cyst
- Differentiation between abscess and tumors with necrosis
- Detection of Cortical Lesions in the Brain
- Differentiation between herpes and diffuse glioma
- Staging of Gliomas and Meningiomas
- Demoralization assessments
** SWAN – diagnosis of brain hemorrhages, helps identify fresh hemorrhages and traces of old hemorrhages – calcifications
How long will it take?
The basic MRI protocol of the brain will take about 30 minutes
How else can this be done?
The condition of the brain can be assessed by symptoms during a neurologist’s examination.
Instrumental methods of examination will help the doctor make the correct diagnosis.
In addition to MRI, a CT (computed tomography) scan and an ultrasound of the brain can be performed.
But it should be understood that CT uses gamma radiation, the dose of which needs to be strictly controlled; while ultrasound provides much less informative results.



You may need
- Neurologist Consultation
- Neurosurgeon Consultation
- Second expert opinion (description of MRI studies conducted in other clinics)
- Neuropsychologist Consultation